细胞因子能利用下游Janus激酶(JAKs)来促进慢性炎性疾病的发生,JAK1-依赖性2型细胞因子能驱动过敏性炎症发生,而JAK1功能增益(GoF)突变体患者会发展为特应性皮炎(atopic dermatitis)和哮喘症。近日,一篇发表在国际杂志Cell上题为“Sensory Neurons Promote Immune Homeostasis in the Lung”的研究报告中,来自西奈山Icahn医学院等机构的科学家们通过研究深入理解了JAK抑制剂或调节子在多种细胞类型和组织炎症中的微妙作用,相关研究结果表明,研究人员需要一种更为精确的方法来将JAK抑制剂的使用范围扩大到更为广泛的过敏症和炎性疾病中。
JAK1是集体中能支持细胞交流沟通并控制免疫系统功能的关键蛋白,其是能将信号从细胞外部传输到内部的一组蛋白的一部分,控制JAK1的活性对于治疗诸如类风湿性关节炎和某些癌症等疾病也非常重要。目前的JAK抑制剂对于像湿疹等疾病中的炎症治疗效果较好,但本文研究表明,研究人员需要一种特殊手段来调节JAK的活性,从而治疗诸如湿疹等人类疾病,研究者表示,增强而并不是阻断肺部神经元中JAK活性的潜在转变或许是一种变革性的策略,其与能主要靶向作用免疫细胞的传统JAK抑制剂不同。
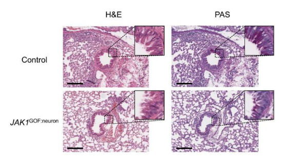
作为这项研究工作的一部分,研究人员利用一只携带JAK1基因患者特异性突变的小鼠揭示了这种突变蛋白是如何引起疾病,以及其如何被用作更广泛的治疗用途;本文研究结果表明,激活的JAK1信号或许具有一定的组织特异性效应,包括在肺部感觉神经元中意想不到的免疫调节作用,其能发挥抑制肺部炎症的作用。医学博士Brian Kim说道,这或许就能解释为何JAK1选择性抑制剂尽管在特应性皮炎中非常成功,但在治疗哮喘上却没有任何进展,这意味着JAK1信号在不同的细胞类型和组织中具有不同甚至相反的作用。

揭示JAK信号在机体炎症中的组织依赖性角色。
图片来源:Cell (2023). DOI:10.1016/j.cell.2023.11.027
这项研究涉及一种JAK1功能增益(GoF)突变,该突变于2017年被研究人员首次报道,其来自于严重湿疹和哮喘为特征的免疫失调和嗜酸性粒细胞过多综合征患者体内。一种JAK1 GOF突变是编码JAK1蛋白的基因发生改变,从而使其要比正常情况下更为活跃,这种活性的增加会导致过度的免疫反应,并可能会导致诸如自身免疫性疾病或癌症等健康问题。研究者Turvey表示,作为一名儿科医生,我开始进行这项研究的目的是为一个由三名家庭成员都患有严重湿疹、哮喘和其它过敏性症状的家庭找到诊断和治疗方法;而事实证明,其是世界上第一批被认为具有引起JAK1功能增益的遗传改变的人群。如今,研究人员从这一单一的家庭开始进行研究,目前他们揭示了人类机体免疫系统和神经系统之间的相互作用,而这也是精准医学的实践。
此前研究结果表明,通常负责调节免疫细胞炎性反应的JAK1信号也存在于神经元中,并能控制机体瘙痒的感觉,在这项最新研究中,研究人员制造出了与患者具有相同突变的小鼠,旨在更好地理解为何JAK1抑制剂对某些过敏症和炎性疾病有效。在小鼠的肺部神经元中,JAK1突变蛋白能通过产生抑制炎性的物质来减少暴露于霉菌所引起的炎症,然而,小鼠仍然能表现出和原始患者相同的皮肤病变,这就表明,JAK1信号在不同细胞中甚至是在机体不同部位的同一细胞中会产生不同的影响效应。通过更好地理解机体不同部位的JAK信号不仅能帮助发现生物学中的新事项,还能帮助阐明JAK药物如何在不断发展的创新性治疗领域中的利用价值,下一步研究人员计划分析沿着JAK通路中的其它基因是如何影响组织特异性的疾病模式的。
比如,另一种名为STAT6的蛋白质位于JAK1通路的下游,研究者表示,携带这些基因突变的患者也会出现类似的过敏性症状,然而,这些特定的突变是否能帮助指导治疗特定疾病的疗法策略,依然是让研究人员非常兴奋的一个研究领域。综上,本文研究结果揭示了JAK1在多种组织的感觉神经元中的进化保守但又独特的功能,这一生物学特性或许就提出了一种可能性,即治疗性的JAK抑制剂或许能进一步优化组织特异性疗效,从而提高未来精准医学的发展。


联系我们
返回